发布时间:2025-11-08 浏览: 次
GE公司生产的 Revolution 256排超高端CT被称为“革命型CT”“CT界的航母”,融合当今CT领域先进科技于一身,将宽体探测器、超高时间分辨率、能谱成像的性能发挥到极致,打造了CT覆盖范围、速度、图像质量、辐射剂量、能谱和扫描舒适性的业界新典范,建立了心血管、神经、肿瘤、呼吸系统、泌尿系统及骨科专业等疾病的成像和低剂量筛查领域全新标准,大幅提高检查效率和体验,有效协助医生进行精准诊断。

更快速:全身扫描仅需十秒
与传统的CT相比,GE 256排Revolution CT的扫描速度更快,转一圈只需要0.28秒,检查一个部位只需2.05秒的时间,做一次全身体检也只需10秒钟左右。单扇区时间分辨率为29毫秒,在任何心率和心律条件下,一个心动周期就可以获得心脏的冠脉解剖信息、斑块成分信息、心脏4D运动信息、心功能信息和心肌灌注信息。有效避免了传统CT检查容易受到心律不齐、呼吸运动、心脏搏动等因素影响,肺功能较差、心房颤动、心律不齐及老龄人可以不受限制地通过该设备完成检查。

高心率及心律不齐的情况下成像清晰稳定

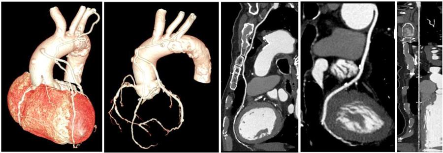
冠脉支架植入术后,精确地确定支架形状、空间位置和腔内细节,实现冠脉支架高清成像

冠脉搭桥术后血管评价,16厘米宽体探测器覆盖整个桥血管范围,心脏轴扫采用 3D 蜂巢准直器和 Volume HD 宽体重建算法,极大地降低了噪声和伪影对图像的干扰,在较低辐射剂量下清晰显示桥血管、瓣膜置换情况及残存冠脉影像。
更全面:一站式全身扫描
该CT拥有16厘米宽体等焦宝石DOD探测器,是目前业内最宽探测器,百万像素超高分辨率检查+3mm超低密度分辨率,将小病灶显示得更清楚、边界更清晰。可轻松覆盖心脏、颅脑、肝脏等器官,搭配独有的自由组合一站式联合扫描技术,能够一次性实现多血管或多器官联合扫描,大幅提升胸痛三联征、冠脉多部位联合扫描、心脑血管上下肢及胸腹血管病变的检出率,为让患者得到及时科学有效的诊疗提供了强有力的技术保障。


Revolution CT同时解决了心脏扫描过程中高心率、心率不齐、房颤和屏气困难等四个难题。Revolution CT在各种心率和心律条件下,只需一个心跳时间便可完成精细的心脏检查,整个成像过程不超过1秒,无需训练吸气闭气便可完成心脏冠状动脉成像。
Revolution CT颠覆传统心脏CT的诊断模式,在低剂量的前提下,一个心跳内就能同时回答心内科医生最希望了解的全部信息:冠脉是否有狭窄、心肌血供是否正常、室壁运动是否正常、心功能是否正常。此外,Revolution CT可以用四张胸片的剂量和超低造影剂用量完成冠脉成像,获得精美的图像质量。
更精准:能谱应用广
Revolution CT我们又叫256排能谱CT,能谱能做到如物质的定量分析,现临床上运用较多的是痛风石的早发现、泌尿系统及胆道系统结石成分的分析;为临床医师的治疗方案提供精准方向。

能谱去除金属伪影

能谱痛风结石分析
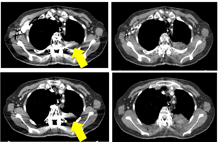
综合使用CT能谱成像技术和MARs技术,能有效减除金属植入物引起的伪影,明显改善金属植入物周围组织结构的影像清晰度,使CT图像质量显著提高,给金属植入术后患者的复查和随访提供了很大的帮助,具有广泛的临床应用价值。
更安全:辐射量对比剂量双低
该设备因扫描速度极快,结合宽体探测器技术,配备了ASiR-V 全模型迭代实时重建系统,可以在低信号强度下 (例如 70kV 扫描、或大BMI 病人的扫描) 消除图像噪音、提高密度分辨率和空间分辨率,与传统仪器相比,降低辐射剂量82% ,增强对比剂用量减少40%~60%,真正意义上实现辐射量、对比剂使用量的“双低”。
对比传统CT检查一个部位需要注射一次造影剂,Revolution CT可以注射一次造影剂,一次性完成冠状动脉CTA、肺动脉CTA及主动脉CTA等多部位CTA检查,得到高对比度的影像图,不仅安全,还省心省力省时更省钱。
更舒适:检查体验更佳
80厘米大孔径设计以及超静音高速旋转系统,减少机架孔径给病人造成的幽闭恐惧感,即使肥胖患者或者重症需携带仪器的患者进行检查也毫无压力,特别是患儿更受益于这种无需镇定剂的扫描,优化患者的就医体验。
