发布时间:2025-11-08 浏览: 次
磁共振成像(MRI)是一种多方位、多参数、大视野、无辐射的检查技术,具有很高的图像对比度和空间分辨率,能为疾病的诊断提供良好的形态和丰富的功能信息。磁共振应用广泛,主要用于人体各系统和各部位的肿瘤性病变、感染性病变、血管性病变、代谢性病变、先天畸形以及创伤等。

桂林市人民医院引进了先进的磁共振成像设备:SIEMENS MAGNETOM Vida 3.0T磁共振成像系统。这个新设备能够“让设备配合患者”,让患者扫描时无需屏气,同时检查噪音更小、图像更精准,体现了“患者至上”的设计理念。具体技术特色如下:
01生命感知系统

全新生命矩阵线圈系统
将最新生物技术、智能传感器技术和计算机人工智能技术相融合形成的全新系统,让以往冷冰冰的检查设备有了如生命般的感知力。由于设备现在装了很多传感器,病人躺在磁共振检查床上时就能立即实时探测其生理信息,将病人的扫描部位、呼吸心跳、磁场变化等信息实时传递给主机,最后机器根据病人的不同情况调整更个性化的检查获得更优的结果。
02超静音扫描平台
传统磁共振检查的响声一般在90-120分贝,新机器从设备硬件和软件设计全方位减少设备内梯度线圈的震动,从而降低噪声,可以让声音降低到30到60分贝。现在病人可以一边听着音乐,一边躺在机器里休息十几分钟即可顺利完成检查。
03自由呼吸成像平台
传统的磁共振成像对运动都非常的敏感,为了在体部获得有价值的诊断图像,体部磁共振成像要求患者屏气扫描。新设备配置了自由呼吸成像平台,结合呼吸感知功能,可以精确控制体部扫描的每次信号采集,采用运动不敏感的扫描方式,并进行运动校准得到精准的图像。这种创新性采集方式对于病人的任何运动都不敏感,保证极高运动脏器成像质量。


04自由心脏成像平台
传统的磁共振扫描心脏时对病人的心率和呼吸有极高的要求,扫描难度大。新设备配置了生命感知系统,可以实现全新的生命感知自由心脏成像。病人进行心脏扫描时,无需配套任何呼吸门控装置,在扫描过程中,磁共振会全程监测病人呼吸以及心电信号,实时控制信号采集,可以实现业界最快的心脏电影成像,比常规心脏电影成像快10-20倍,可以自由呼吸状态,一个心动周期完成电影采集。

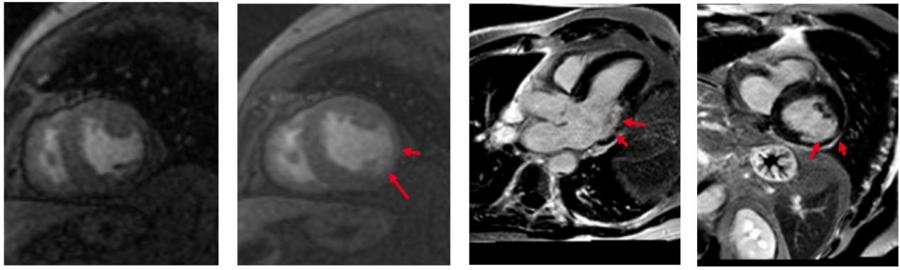
心肌缺血伴部分心肌损伤患者的心脏MRI

心肌缺血患者的心脏MRI
05高清功能成像平台
新的设备采用了全新的硬件系统,控制精度上比传统磁共振提高了若干数量级,图像的分辨率有了很大的改善,图像更高清,功能更强大,高清小视野图像在直肠和前列腺肿瘤分期具有重要意义。

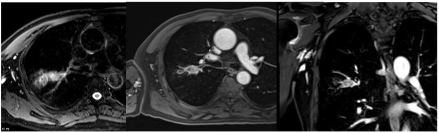
胸部MRI,纵隔肿瘤无增强可以清楚显示病灶与血管分界。

胸部MRI,MRI对于最常见的肺结节显示能力以及对于肺内小结节的检出率已经大幅度提高。而且MRI比CT更容易鉴别肿块性质。

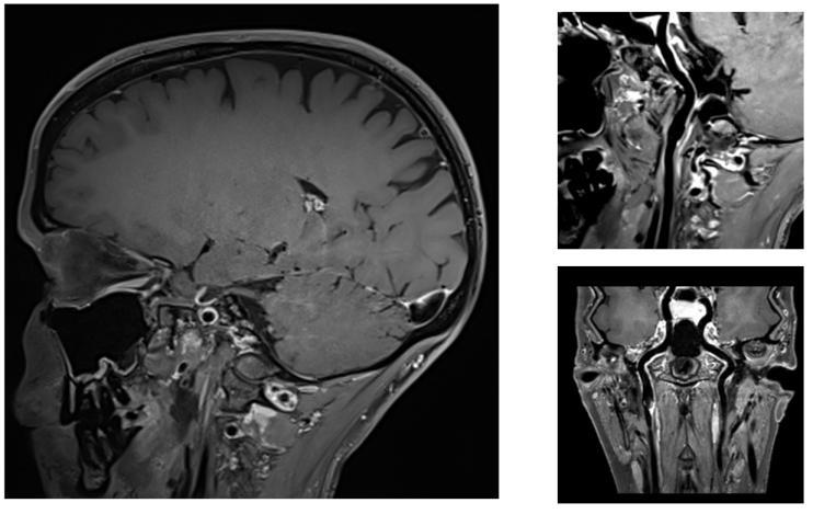
神经系统-血管壁成像

神经系统-全脊柱成像,臂丛神经成像

颈椎成像,使用CoilShim后,压脂不均匀区域的压脂效果明显改善。

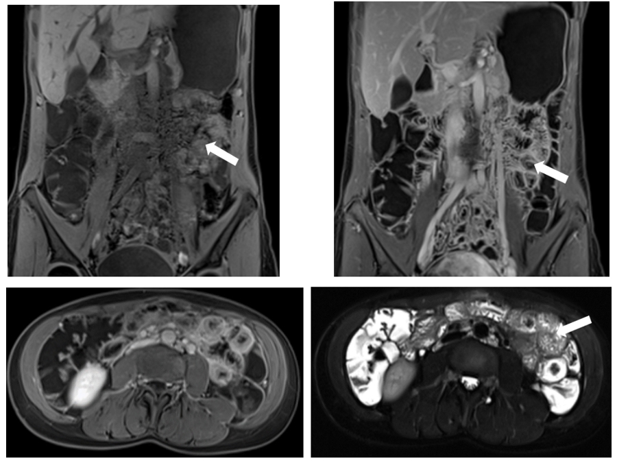
腹部-消化道MRI,肠道检查因为大FOV,对磁场均匀要求高,一直是MR成像的难点。

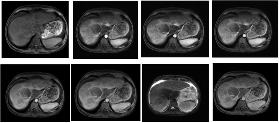
腹部-肝脏MRI,TWIST-VIBE以其超快的扫描速度,可以精确捕捉肝脏病变的血供信息,为诊断提供更准确的信息。

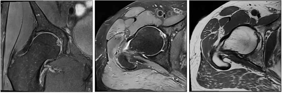
骨肌系统--UltraFlex Large 18 可以提供更高分辨率及更小FOV髋关节成像。

骨肌系统--UltraFlex small 18与BLADE技术相结合,有助于去除运动伪影,提高小关节成像效果与效率。
总之,西门子Vida3.0T磁共振所拥有的生命感知系统、高分辨率扫描成像平台以及其他先进的、人性化的设置,可以让更多的人群可以获得磁共振检查的机会,同时检查过程更加轻松。其配备的新兴扫描成像技术,为各系统疾病特别是腹部、盆腔肿瘤及心脏疾病的诊断提供了更加精准影像支持,为患者的治疗、康复提供了更加强有力的保障。
